110 E 40th St Suite 406 New York

(212) 953 - 1544

Working Hours Monday - Friday 08:00-16:00
Toll Free 1800.899.900

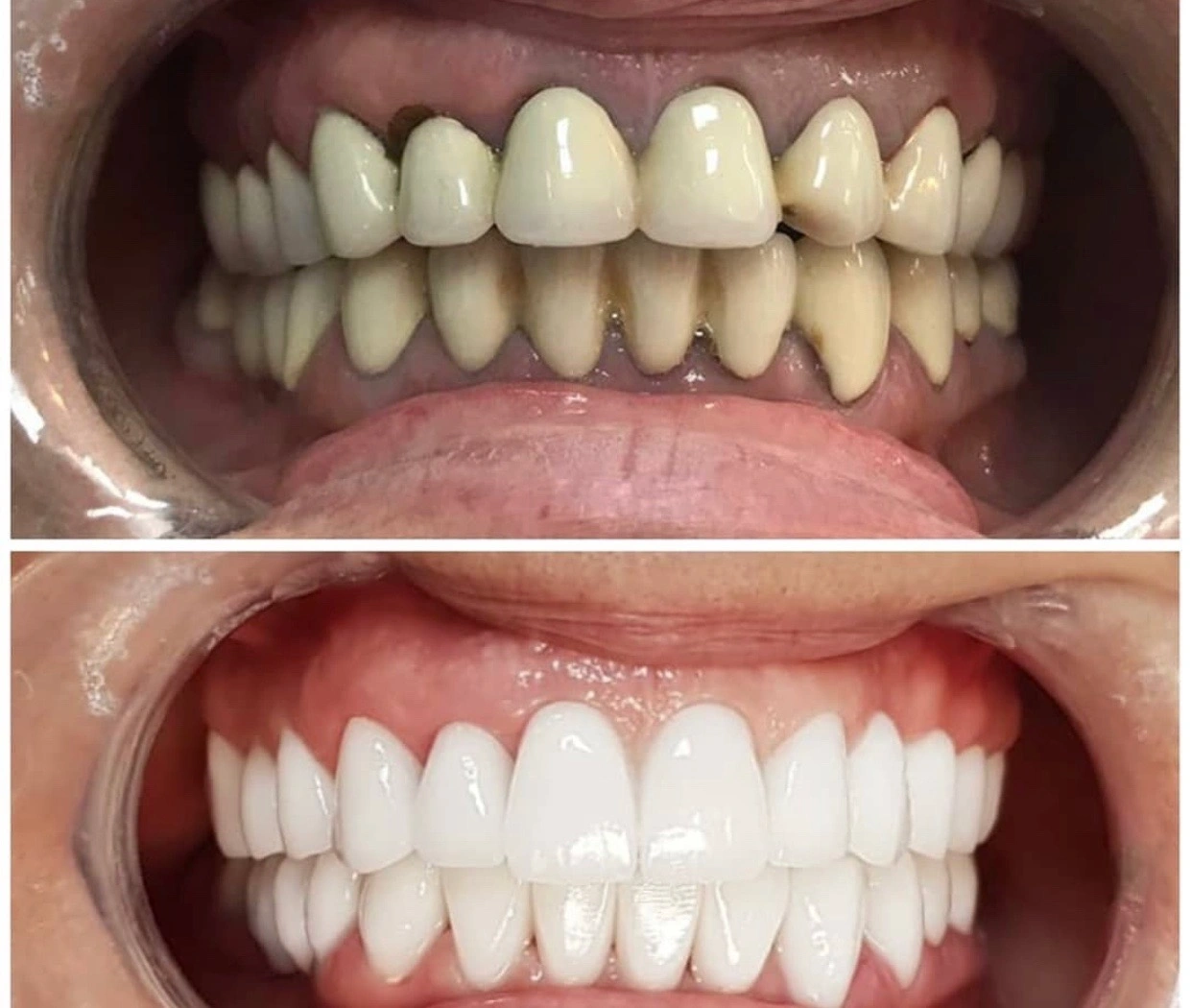
VENEERS

Dr. Fox listens to your concerns and with his team creates the individual smile that you want. Porcelain veneers are the Picassos of dentistry. They are long lasting and change your smile. They are life like and don't stain. The preparation and placement of a porcelain veneer only requires 2 visits and it's a life altering change.

What are Porcelain Veneers?

Porcelain veneers are slender shells of porcelain (or other material) that are bonded to the outward-facing surfaces of teeth to improve their appearance. Veneers can be used to cover whitening-resistant teeth, crooked teeth, and to cosmetically correct misshapen teeth and gaps between teeth (diastema). One of the great things about the latest veneer options is that they are taking advantage of state-of-the-art materials research to improve appearance, durability, and longevity. Today’s veneers are practically indistinguishable from natural teeth.

Can Veneers Help My Smile?

Veneers are thin shells that are adhered to the front of teeth in order to improve the appearance of the patient’s smile. Veneers can be used to correct a number of cosmetic issues such as:

  • Chipped teeth
  • Misshapen teeth
  • Worn teeth
  • Bleach-resistant teeth
  • Misaligned teeth (malocclusion)
  • Gapped teeth (diastema)

Veneers can dramatically enhance the cosmetic appearance of your smile. This is why they are sometimes referred to as "instant orthodontics."

Book Your Consultation With Dr. Fox Today

Take that first step towards becoming your best self.

Book Appointment